
Yat kaptanlığı yapan 45 yaşındaki Ömer Can, çıktığı uzun seyahat sonrası omuzunda ağrı hissetti, öksürük ve hapşırma krizleri geçirince grip olduğunu düşündü. Can, nefes almakta güçlük yaşayınca Şanlıurfa’nın Akçakale ilçesinde hastane aciline başvurdu.

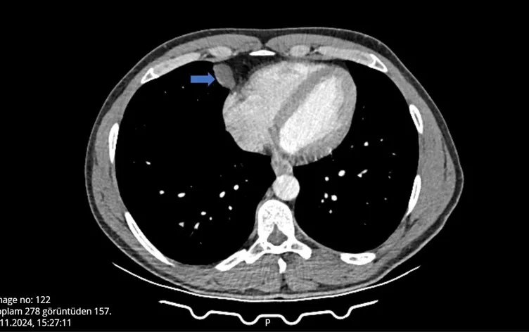
Burada tomografisi çekilen Can’ın, akciğer ile kalbinin arasında bir kist olabileceği belirtildi. Can, çevresindekilerin tavsiyesi üzerine detaylı araştırma ve inceleme için, Antalya Eğitim ve Araştırma Hastanesine başvurdu.

Gerekli tetkikleri yapılan Ömer Can’ın, belirtilen bölgesinde yaklaşık 2 santimlik bir kist olduğu tespit edildi ve hemen ameliyata alındı.

Göğüs Cerrahi bölümünde Video Yardımlı Torakoskopik Cerrahi (VATS) yöntemiyle gerçekleşen ameliyat yaklaşık 10 dakika sürdü.

Hastanede ilk kez tüpsüz olarak gerçekleştirilen ameliyat sonrası Ömer Can sağlığına kavuştu, 1 gün sonrası ise taburcu edildi.
Haber Kaynak : SABAH.COM.TR
“Yayınlanan tüm haber ve diğer içerikler ile ilgili olarak yasal bildirimlerinizi bize iletişim sayfası üzerinden iletiniz. En kısa süre içerisinde bildirimlerinize geri dönüş sağlanılacaktır.”
GÜNDEM
10 Aralık 2025SPOR
10 Aralık 2025GÜNDEM
10 Aralık 2025SPOR
10 Aralık 2025SPOR
10 Aralık 2025GÜNDEM
10 Aralık 2025GÜNDEM
10 Aralık 2025
1
Doğru emzirme yöntemleri nelerdir, sütün yettiği nasıl anlaşılır?
2189 kez okundu
2
Taylor Swift yeni albüm planları için düğmeye bastığını sosyal medyadan duyurdu!
1764 kez okundu
3
SON DAKİKA! ID iletişim sahibi Ayşe Barım hakkında soruşturma: Serenay Sarıkaya ile birçok ünlünün menajerliğini üstleniyordu
1755 kez okundu
4
Annelik duygusunun ortak tanımı diyebileceğimiz 10 başlık.
1724 kez okundu
5
Takı ve makyaj uyumuna trend örnekleri sizler için derledik.
1698 kez okundu